The brain healing

Published on February 8, 2026 at 6:46 PM

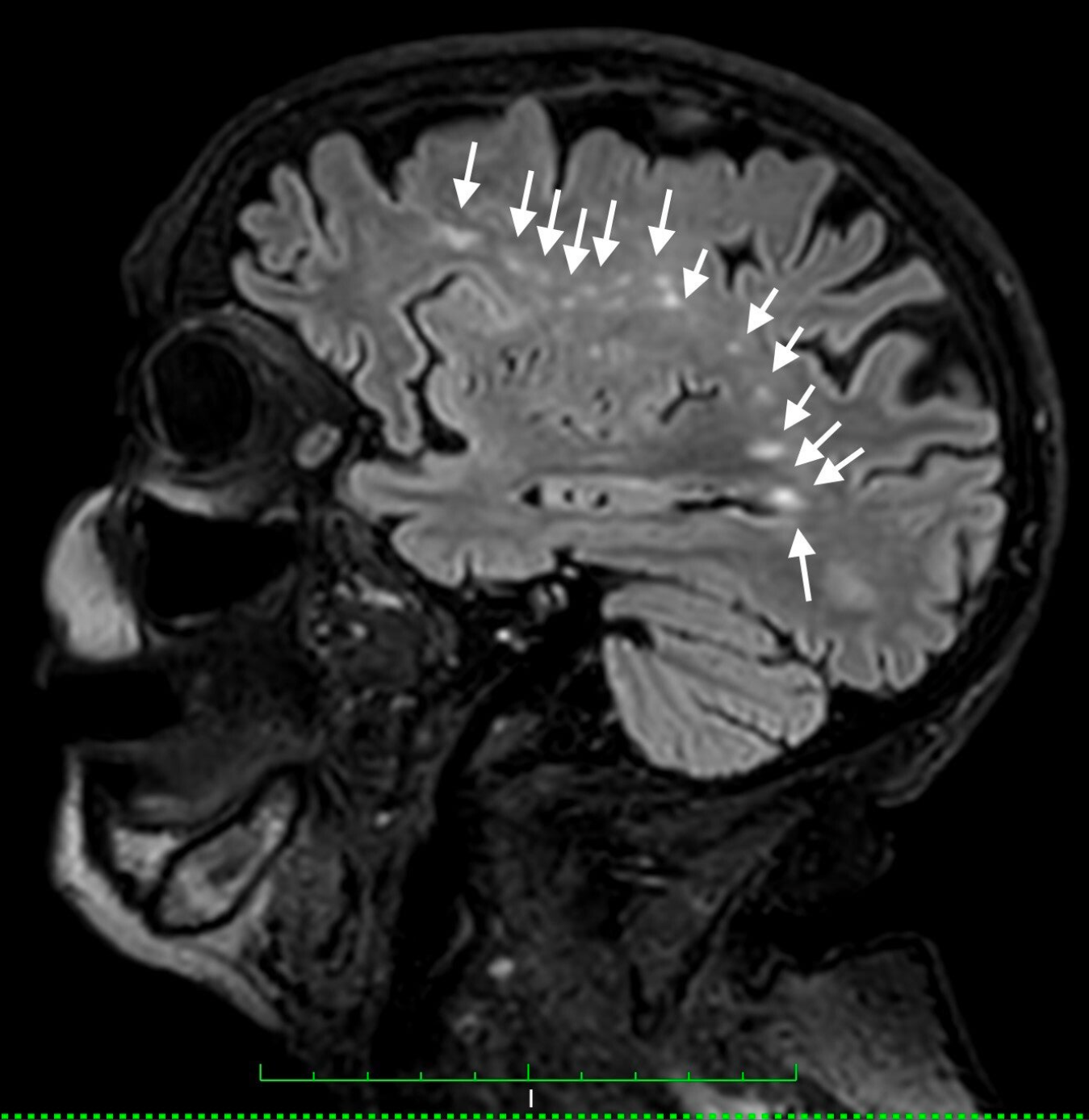
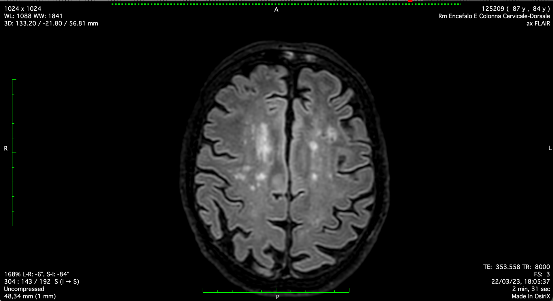
Since March 22nd, 2023, following the 3T MRI scan, a long journey with cysticercosis began, leading to a diagnosis and the correct initiation of albendazole treatment (400 mg b.i.d.). Either standard or increased doses, matching the maximum allowed (400 mg, two tablets t.i.d.), were prescribed, resulting in definitely positive clinical and imaging outcomes.

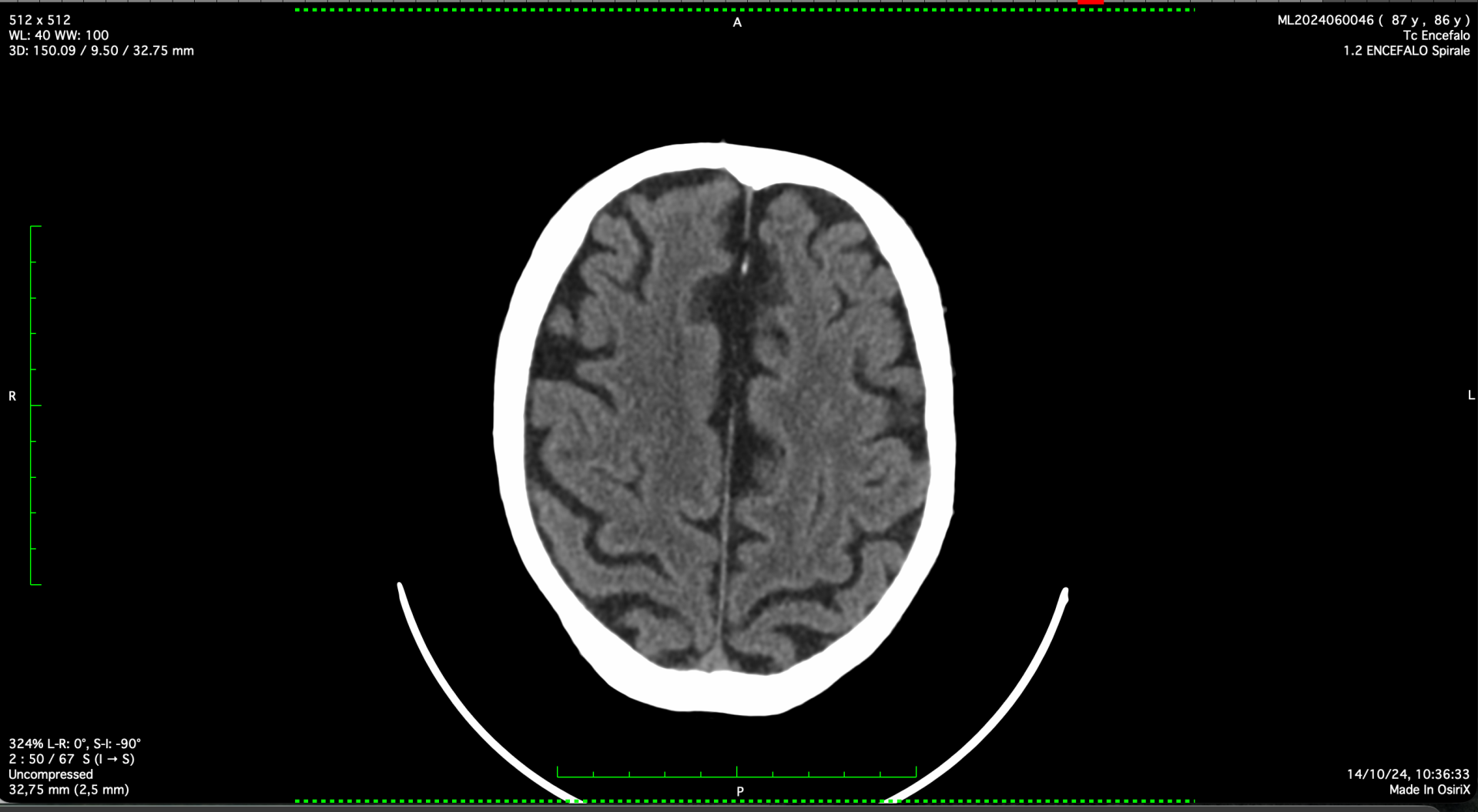
No farther than 19 months later, as of October 14th 2024, by directly tackling the responsible pathogen, the brain imaging (TC this time) appeared sufficiently normalised,  what's more corresponded by a perfect brain performance, completely regained from the previous assessment, when central neurological capability was affected (wake/sleep inversion, modified temper, paraparesis, and paraplegia),  and completely granting a normal, efficient, and functional relationship's life.

Such achievements were not solely reached through the pharmacological treatment undertaken, as detailed above. Indeed, a key factor was the establishment of prolonged—ideally continuous—hyperbaric oxygen therapy to counteract the anaerobic nature of cysticercal ova. This served as a fundamental adjunct—pivotal rather than merely additional—demonstrating early therapeutic efficacy, even though precise dosages, modalities, and breathing interfaces required further definition.