Brain and heart

Published on February 2, 2026 at 7:40 PM

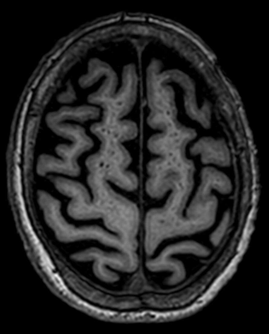
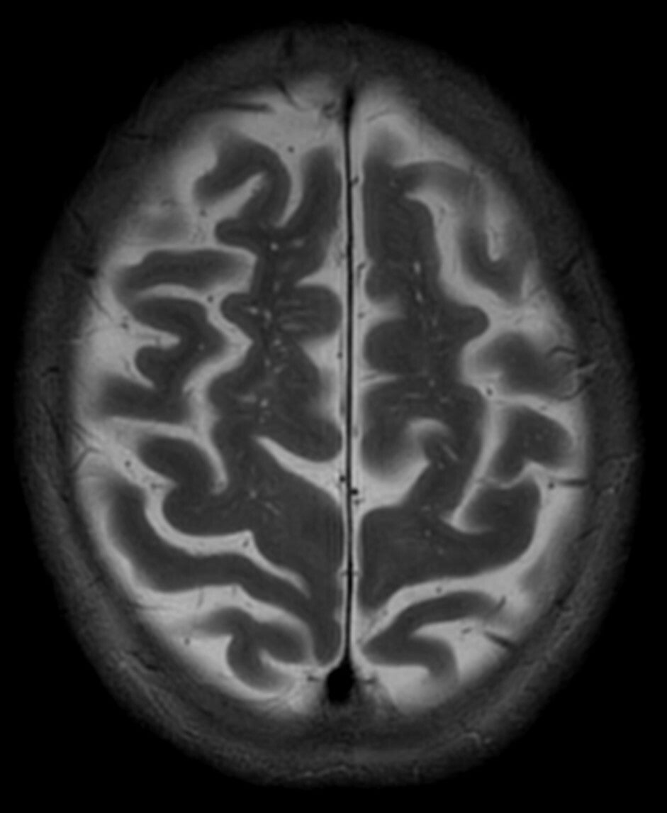
Characteristic appearances of 3 Tesla MRI imaging at a vault slice in a brain acquisition. In the first column, a picture of a microstarry sky in T1 acquisition is clearly evident and indicative of a miliary cysticercosis portrait, with multiple hollow cavities. In the second column, the corresponding snapshot in T2 is that of a myriad of point-like multiple dots, appearing as the hyperintense picture of the liquid inside the microcysts, being of the same liquor's density.

On the third column, the electrocardiogram taken in the same person, is imaged, of a prolonged Prinzmetal's angina-related chest pain episode with ST elevation in transeptal region, during a sub-continuous thoracic pain lasting uninterruptedly for > 20 minutes, with released cardiac biomarkers in typical ischemic curve, evolving ecg, w/out inflammation markers, and later evolving with a typical ischemic course, with ST normalization and ischemic symmetric T wave inversion.

          T1 (left)- and T2 (right)-weighed MRI appearance of distal cysticercal formations                     ST elevation of Prinzmetal angina